Studio Pellitteri

Protesica a Bolzano: ristrutturazione dei denti

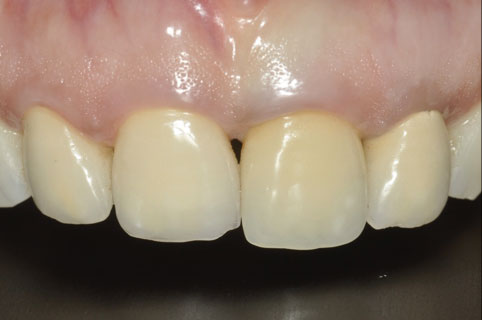
La protesica, realizzata presso lo Studio Dentistico a Bolzano, è quella branca dell'odontoiatria che si occupa della ricopertura totale della parte esterna dei denti, ossia quelle visibile.

Il dente rovinato dalla malattia cariosa, indebolito da vecchi restauri come otturazioni, viene limato, quindi ridotto in tutte le sue dimensioni e ricoperto successivamente dalla corona o capsula, garantendo così la conservazione per un lungo periodo di anni. A queste ragioni di tipo funzionali o strutturali, si aggiungono anche motivazioni estetiche.

Protesi Dentaria: terapia e trattamento

Oggi abbiamo a disposizione materiali che possono imitare alla perfezione il dente naturale, anche grazie alle esperte mani dei nostri odontotecnici. Tra questi, quello di uso più frequente per le sue qualità estetiche e meccaniche, è la ceramica che può essere lavorata sopra una base d'oro, realizzando una corona in metallo-ceramica, oppure su una base di zirconia, corona metal free.

La zirconia è un materiale di nuova generazione che presenta, dove possibile, due vantaggi fondamentali:

  1. estetica, in quanto il tecnico non è costretto a mascherare l'oro e quindi il risultato finale è più naturale, potendo mettere in risalto le caratteristiche del dente naturale, come le caratterizzazioni o le trasparenze;
  2. bio-compatibilità, in quanto non essendo metallico riduce praticamente a zero i rischi di intolleranza per il paziente.

Le corone possono essere montate su denti naturali, oppure su impianti.

I denti mancanti possono essere sostituiti con radici artificiali, cioè gli impianti, oppure con un ponte. Il ponte è una struttura protesica costituita da due o più elementi "pilastro" di sostegno, che possono essere denti naturali limati, o impianti, uniti da due o più elementi intermedi, sostituenti i denti mancanti.